Displasia do
Cotovelo
Definição A displasia do cotovelo é um conjunto de quatro
doenças (anomalias de desenvolvimento), que levam a uma má
formação e degeneração da articulação do cotovelo.
Displasia do cotovelo:
• Não união do processo ancóneo (NUPA)
• Osteocondrite dissecante (OCD)
• Fragmentação do processo coronóide (FPC)
• Incongruência do cotovelo
Genética
• A displasia do cotovelo é uma doença Hereditária -
Heritabilidade elevada
• Índice de heritabilidade entre 0.25 a 0.45
Predisposição
• Raças grandes e gigantes
• Idade
o Sinais clínicos aparecem entre os 4 e os 10 meses Diagnóstico
- 4 e 18 meses
o Sinais de artrose podem surgir em qualquer idade
• Sexo
o FPC - predominam nos machos
o Não há predominância de sexo nos outros processos
Causas
• Desenvolvimento
• Nutricional
Fatores de Risco
• Crescimento e ganho de peso muito rápidos
• Dietas hipercalóricas
Etiologia
• São uma manifestação de um processo de osteocondrose e/ou
incongruência da articulação Incongruência entre a tróclea do
cúbito e o rádio - assincronia do crescimento. Forma-se um
degrau
• Esta assimetria torna-se evidente entre os 4 e os 6 meses de
idade
Não União do Processo Ancóneo
• Não ossificação do processo ancóneo Centro de ossificação
separado
• Deve unir até os 5 meses de idade

FPC – Fragmentação do Processo
Coronóide
• Fragmentação do processo coronóide medial do cúbito
• Manifestação de uma osteocondrose do cúbito (não traumático)

Incongruência do Cotovelo
• Malformação e mau alinhamento do cotovelo Assincronia do
crescimento entre o rádio e o cúbito
• Leva a uma incongruência da articulação com formação de
artrose

Exame físico
• Dor à flexão e extensão do cotovelo Dor quando seguramos o
carpo e o cotovelo a 90º e fazendo pronação e supinação do carpo
O membro afetado tem tendência a ser mantido em abdução e
supinação Efusão e distensão capsular
• Crepitação (DJD)
Sinais clínicos
• Sinais surgem entre os 4 e os 6 meses Episódios de claudicação
Abdução do cotovelo Relutância à flexão e extensão do cotovelo
Rotação da extremidade quando em extensão Com o avançar do
processo de osteoartrose os sinais clínicos tornam-se crónicos
Passam a maior parte do tempo deitados e com claudicação
permanente
• Espessamento da cápsula articular e formação de osteófitos
Diagnóstico
• Radiografias
o mediolateral mediolateral hiperflectida
craneocaudal-lateromedial oblicua 25º
o craneocaudal
o Radiografias de ambos os cotovelos Citologia do líquido
articular Artroscopia
• TAC
Cirurgia NUPA
• remoção
• osteotomia do cúbito
OCD e FPC
• remoção do fragmento solto
Incongruência
Restrição do exercício após cirurgia
Dieta
• Controlo de peso
• Dietas adequadas
Prevenção
• Não cruzar os animais afetados
• Cães ou cadelas que tiveram filhos com displasia do cotovelo
não devem ser de novo reproduzidos
-Dr. Mário Santos, MV
Displasia Coxofemoral
A Displasia coxofemoral foi descrita no cão no ano de 1935. A
diferença entre o homem e o cão é que a displasia coxofemoral no
cão é uma doença hereditária, mas não é congénita: o cão não
nasce com displasia, mas devido à influência de fatores
ambientais, alimentares, excesso de exercício, etc., e unida a
um importante componente genético, origina-se um desequilíbrio
entre a massa muscular e o desenvolvimento esquelético,
resultando numa falta de congruência entre o acetábulo e a
cabeça do fémur. Basicamente temos dois tipos de displasia:
1. Acetabular - Típica no Pastor Alemão e Labrador Retriever, em
que existe aplanamento do acetábulo associado a uma escassa
cobertura acetabular da cabeça femoral.
2. Do colo do fémur - Caracteriza-se essencialmente pela
alteração do ângulo femoral e na falta de pressão ao nível do
acetábulo. A perda de contacto entre a cabeça femoral e o
acetábulo provoca instabilidade articular e laxidão coxofemoral,
originando posteriormente a osteoartrose.
Afeta classicamente raças grandes e gigantes. Foi descrita em
mais de 70 raças. A incidência é de 48% em S. Bernardos, 31% em
Bullmastiff, 23 % Golden Retriever, 22% Rottweiller, 21% Pastor
Alemão. Está descrita em raças pequenas como o Cocker Spaniel e
inclusivamente em gatos (persa). Afeta de forma bilateral em 90%
dos casos, não existindo predisposição sexual.
Fatores que predispõem ao aparecimento da displasia coxofemoral:
• Fatores Genéticos - A hereditariedade desta doença tem um
carácter poligénico (não se sabe quantos genes intervêm). Muitos
animais podem mostrar um fenótipo normal com radiografia
correta, mas serem genotipicamente portadores do carácter
displásico e transmitir à descendência, o que complica
grandemente a sua erradicação.
• A constituição da própria raça é também um fator determinante
na apresentação de displasia, assincronia entre o
desenvolvimento ósseo e muscular (Ex. Labrador), morfologia
intrínseca do acetábulo pouco profundo no Pastor Alemão, mais
côncavo no Boxer, a angulação e orientação da cabeça do fémur no
Mastin e Montanha dos Pirenéus, e a laxidão articular típica do
Pastor Alemão, explicam as diferentes percentagens de incidência
em raças de peso e desenvolvimento ponderal similares.
• Fatores Ambientais - Um excesso de alimentação. Ligado,
geralmente, à alimentação "ad libitum" influencia a velocidade
de crescimento do animal. Um animal jovem, com uma arquitetura
óssea ainda não compacta, que tem de suportar um peso excessivo
poderá estar disposto a desenvolver Displasia da Anca. A
sobrealimentação com dietas de elevado teor energético cálcio,
vitaminas, etc. devem ser evitadas sobretudo na idade máxima de
crescimento, entre os 3 e os 8 meses de idade.
• Exercício - Fator a considerar na etiopatologia da displasia
da anca. Exercícios violentos incrementam a laxidão articular.
Um exercício moderado que permita um desenvolvimento muscular
apropriado aumenta a estabilidade articular e ajuda a prevenir a
displasia da anca.
Sintomas Clínicos São muito variáveis e com uma certa
independência das lesões osteoartrósicas, radiologicamente
evidentes. Não há um paralelismo entre sintomas clínicos e
sinais radiográficos, apresentando-se um amplo leque de
possibilidades desde animais displásicos assintomáticos a
animais paraplégicos.
Uma marcha anormal, juntando os curvilhões, dificuldade em
levantar-se ou saltar, dor à manipulação da extremidade
sobretudo em hiperextensão, etc., são sinais sugestivos de
displasia que terão de ser confirmados com radiologia.
Classicamente distinguimos dois grupos de animais com
sintomatologia clínica
• Animais jovens de 6 a 12 meses de idade que manifestam sinais
de forma, mais ou menos, intermitente e transitória. Este facto
deve-se à existência de micro fraturas. Dolorosas, que acontecem
sobretudo no bordo acetabular por laxidão articular.
Posteriormente a rápida ossificação das mesmas leva a um
desaparecimento mais ou menos transitório da dor.
• Um segundo grupo de animais estaria representado por animais
de 4 a 5 anos ou mais quando já se estabeleceram lesões
irreversíveis de osteoartrose. Nos animais jovens podemos tentar
realizar um diagnóstico precoce da laxidão articular mediante o
teste de Ortolani. Coloca-se o animal em decúbito lateral,
pressiona-se o joelho na direção do trocânter o que facilita a
luxação da cabeça femoral. Mantendo a pressão, movemos a
extremidade para o exterior (abdução), o que vai provocar a
recolocação da cabeça do fémur no interior do acetábulo. Em
cachorros com laxidão articular (predisposição para a
displasia), notamos um ruído quando a cabeça femoral recupera a
sua posição normal.
• O valor diagnóstico é discutível, já que se é positivo o
animal geralmente terá displasia, se é negativo a dúvida
persiste.
O sinal de Bardens também se utiliza para determinar o excesso
de laxidão articular de forma precoce em cachorros. Consiste em
tentar separar a cabeça femoral do acetábulo mediante uma força
de abdução alta, com o animal posicionado em decúbito lateral.
Cerca de 75% dos animais positivos a estes testes serão
displásicos na idade adulta.
Diagnóstico radiológico. O estudo radiológico é atualmente o
único meio de diagnosticar a displasia coxofemoral. No Pastor
alemão, por exemplo a fiabilidade de deteção por radiografia é
de 16% aos 6 meses de idade, 70% ao ano de idade, 82% aos 18
meses de idade e 95% aos 2 anos de idade. A radiografia oficial
deve ser feita aos 18 meses (nunca em fêmeas em cio). A técnica
radiológica standard, aceite universalmente, requer a sedação ou
anestesia do animal, colocando o animal em decúbito dorsal com
os posteriores distendidos, paralelos e submetidos a rotação
interna, de modo que as rótulas se situem sobre a tróclea do
fémur, evitando a rotação das pélvis. A simetria deve ser
perfeita.
A classificação dos graus de displasia varia segundo os países.
A classificação aceite no nosso país, é a proposta pela
Federação Cinológica Internacional (FCI):
Nenhum sinal de displasia - Grau A
Forma de transição - Grau B
Displasia Leve - Grau C
Displasia Moderada - Grau D
Displasia Grave - Grau E
Com a finalidade de realizarmos a leitura correta da
radiografia recorremos a medidas coxo métricas.

Ângulo de Norberg-Olson
Ângulo Cervico-Diafisário
Ângulo de retro e anteversão
Cobertura Acetabular
Tratamento
• Conservador - Previne a prevenção da lesão cartilaginosa
articular no cão jovem e o alívio da dor secundária à artrose no
cão adulto. Repouso, redução do peso e uso controlado de
anti-inflamatórios.
• Cirúrgico - As técnicas cirúrgicas de tratamento da Displasia
da Anca destinam-se a suprimir a dor ou a corrigir as más
formações articulares.
PECTINECTOMIA O músculo pectíneo atua como adutor. A contração
deste músculo numa anca displásica predispõe à subluxação e
aumenta a dor. A Tenotomia ou tenectomia do pectíneo consegue
obter um efeito antiálgico a curto prazo, mas não modifica a
progressão dos sinais de osteoartrose. A maioria dos pacientes
volta a demonstrar sinais clínicos num futuro mais ou menos
próximo em função da idade e do grau de osteoartrite presente,
no momento da cirurgia. Em casos muito específicos recomendamos
esta cirurgia.
OSTEOTOMIA TRIPLA A osteotomia tripla do púbis, ísquion e ilíon,
liberta a parte acetabular, de forma a que se pode reorientar,
conseguindo uma maior congruência da mesma com a cabeça femoral,
diminuindo assim, a laxidão da cápsula articular, e evitarmos as
lesões degenerativas da articulação. O candidato ideal para uma
osteotomia tripla é um animal com displasia acetabular de 7 a 12
meses de idade com laxidão articular que clinicamente manifeste
sintomatologia e que não apresente sinais de degeneração
articular. Podemos rodar o acetábulo 20, 30 ou 40º.
O Hospital Veterinário do Porto com uma equipa cirúrgica
chefiada pelo Dr. Mário Santos, tem vindo ao longo de 4 anos, a
realizar as osteotomias triplas em muitos animais afetados, por
esta doença de todas as regiões do país. Cremos que é o melhor
método cirúrgico para corrigir a displasia, sendo a seleção dos
pacientes, assim como, a idade, de primordial importância para
que o êxito seja de 100%.

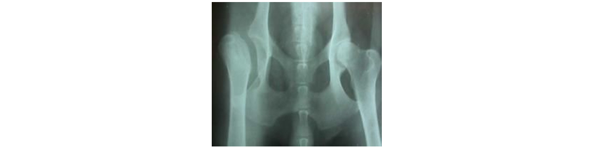
A rotação no caso acima descrito foi de 30 º, a radiografia foi efetuada após a cirurgia. Podemos verificar a introdução total da cabeça femoral no acetábulo no pós-cirúrgico. DARTROPLASTIA. É a cirurgia mais recente que utilizamos para corrigir a displasia em animais que já passaram os 12 meses de idade e que já não podem realizar uma osteotomia tripla. Contudo não são candidatos a uma cirurgia de prótese da anca ou muito menos a uma artroplastia por excisão. A cirurgia consiste em aumentar o acetábulo com uma técnica bastante eficaz e que mantém a cabeça do fémur estabilizada. Temos vindo a realizar esta técnica, desde há dois anos, conseguindo resultados extraordinários.

ARTROPLASTIA: A excisão da cabeça do fémur só deve ser utilizada como último recurso. O fim que perseguimos é a supressão da dor, eliminando a articulação. A recuperação funcional é mais lenta.

PRÓTESE TOTAL DA ANCA: A substituição da articulação coxo femoral em animais com osteoartrose por uma prótese é uma técnica cada vez mais utilizada. Geralmente utilizam-se próteses cimentadas com uma percentagem de êxito 60 a 100% em função da técnica utilizada.

Dr. Mário Santos, MV.
TPLO
O Hospital Veterinário do Porto tem ao dispor dos colegas a nova
técnica cirúrgica para resolução de rutura do ligamento cruzado
anterior, denominada de Tibial Plateau Leveling Osteotomy (TPLO)
e que tem, de longe, o melhor prognóstico de todas as técnicas
cirúrgicas utilizadas até o momento. Passamos a descrever
algumas particularidades da técnica. A rutura do ligamento
cruzado anterior (LCA) é a causa mais comum de claudicação do
membro posterior do cão. Esta lesão origina alterações
degenerativas na articulação do joelho, incluindo lesões
cartilagíneas e ósseas. A TPLO é eficaz na correção da rutura
dos ligamentos cruzados, repondo uma função articular normal.
Biomecânica
Apesar das articulações dos joelhos dos cães e dos humanos serem
similares, as forças aplicadas nas superfícies dessas
articulações ao suportar o peso corporal são muito diferentes.
Isto deve-se às diferenças de configuração anatómica. Como um
carro numa superfície plana não tem tendência para deslizar, nos
humanos, as articulações das ancas, joelhos e tornozelos são
paralelas entre si e perpendiculares à superfície de sustentação
do peso, o pé. Assim nós podemos manter-nos de pé facilmente sem
fazermos muito esforço nas articulações. Os cães, no entanto,
apoiam-se nos seus dedos, com os tornozelos inclinados e os
joelhos dobrados para a frente (Fig.1). A porção superior da
tíbia canina (meseta tibial ou “Plateau” tibial) é inclinada. Ao
suportar o peso corporal cria-se uma força compressiva do fémur
sobre o declive da meseta tibial obrigando a tíbia a deslocar-se
cranialmente (Fig.2). Esta força é denominada deslocamento
craneal da tíbia. Este deslocamento é apenas limitado pelo
ligamento cruzado anterior. Tal como um carro numa superfície
inclinada tem a tendência a descer o declive, o ligamento
funciona como um cabo preso ao carro, evitando que desça
(Fig.3). Em cada passo que o cão dá é sempre o ligamento que
está sujeito a esforço. Ao longo do tempo, cães com uma grande
inclinação da meseta tibial sujeitam o ligamento cruzado
anterior a um enorme esforço. Assim, quando o deslocamento
craneal da tíbia é exagerado significa que existe rutura de
ligamento cruzado anterior (Fig.4).

Ruturas do LCA
apresentam-se clinicamente em várias formas. Existem acidentes
particulares que causam rutura completa aguda, associada a dor
severa e claudicação sem apoio do membro. Outras ruturas ocorrem
em pequenos incrementos ao longo do tempo sendo denominadas como
ruturas parciais do LCA. Estes tipos de ruturas caracterizam-se
por uma dor ligeira e uma claudicação moderada associada a perda
da capacidade atlética. Quando ruturas parciais evoluem para
ruturas completas, esta transição é geralmente gradual.
Outras duas estruturas importantes nos joelhos são os meniscos
lateral e medial (almofadas cartilagíneas). Estas estruturas
estão também sujeitas a lesão quando o joelho se encontra
instável devido a rutura do ligamento cruzado. A técnica TPLO é
a mais indicada para pacientes ativos de médio e grande porte
pois proporciona uma estabilidade notável sobre esforços
extremos repetidos. As técnicas cirúrgicas tradicionais para
este tipo de pacientes requeriam longos períodos de repouso
completo de modo a permitir a cicatrização do ligamento cruzado
anterior de substituição sintético ou natural. Estes tipos de
técnicas são falíveis pois a restrição completa do exercício
neste tipo de pacientes por longos períodos é quase impossível.
Qualquer tipo de atividade pode levar à rutura do ligamento
artificial e/ou colaterais, a uma flexão incompleta do joelho e
a fraca capacidade atlética.

Diagnóstico
O diagnóstico é feito após uma demonstração clara de
deslocamento craneal da tíbia exagerado (teste de gaveta). O
diagnóstico é fácil em ruturas agudas e completas, mas pode ser
mais subjetivo em ruturas parciais ou crónicas. Uma sedação
ligeira pode ser necessária de modo a permitir um relaxamento
muscular e a obtenção de radiografias, para demonstrar a
presença de alterações artríticas.
Técnica Cirúrgica TPLO
Fig. 5
A osteotomia de nivelamento da meseta tibial (TPLO) é usada para
neutralizar o efeito do deslocamento craneal da tíbia (Fig.5).
Basicamente, esta técnica vai nivelar a meseta tibial através de
uma osteotomia com curva da tíbia e posterior ajustamento num
ângulo pré-determinado, de modo a que a nova posição da meseta
tibial anule a necessidade de existir o LCA como restritivo
(Fig. 6). Por outras palavras, em vez de substituir o cabo que
quebrou, esta técnica vai anular o declive da superfície,
eliminando a necessidade de um novo cabo.

Fig. 6
Lesões meniscais são também corrigidas durante a cirurgia de
modo a prevenir futuras alterações artríticas na articulação.
Cuidados Pós-Operatórios A cicatrização demora cerca de dois
meses para o osso e um pouco mais para os tecidos moles. Uma
restrição de exercício é obrigatória durante o processo de
cicatrização. Como o novo nivelamento da meseta tibial permite
uma rápida diminuição da dor articular, o maior problema durante
a recuperação é a atividade excessiva do paciente antes da
completa cicatrização óssea. A maioria dos pacientes retoma uma
atividade completa ao fim de 3 a 4 meses. Os pacientes podem
recuperar a sua performance atlética (caça, provas de agilidade,
corridas de cães) geralmente ao fim de 6 meses de
pós-operatório.

Dr. Mário Santos, MV.